Nguyên Nhân Và Phương Pháp Khắc Phục Tam Giác Nướu Bạn Nên Biết!
ThS.BS Bác sĩ NGUYỄN TUẤN DƯƠNG
- Giám đốc Hệ thống Nha khoa Smile One
- Hơn 22.000 khách hàng niềng răng
- Hơn 15.000 khách hàng trồng răng Implant
- Hơn 14.000 khách hàng răng sứ – veneer
- Gần 9.000 khách hàng nha khoa tổng quát
Tam giác nướu và Phương pháp khắc phục tam giác nướu là gì? Nguyên nhân xuất hiện tam giác nướu ở 1 người là do đâu? Bài viết dưới đây của Nha khoa Smile One sẽ giải đáp cho bạn biết rõ hơn những vấn đề xoay quanh “tam giác nướu”
Nội dung
I. Tam giác nướu là gì?
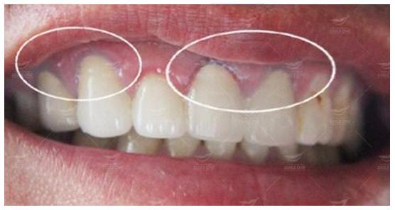
Tam giác nướu chính là “tình trạng xuất hiện các khe hở giữa các răng”, đặc biệt là xuất hiện ở các vùng răng cửa phía trước. Tam giác nướu không phải là vấn đề bệnh nha nghiêm trọng, tuy nhiên nó lại ảnh hưởng nhiều đến thẩm mỹ của hàm răng, làm giảm sự tự tin khi cười, khi giao tiếp cho người sở hữu.
Theo các bác sĩ chuyên khoa về răng miệng giải thích thì: “Ở những người có mô nha chu khỏe mạnh thì phần nướu sẽ ôm sát cổ răng Phần gai nướu giữa hai răng cạnh nhau có dạng đỉnh nhọn. Khi gai nướu đó không còn đỉnh nhọn nữa sẽ tạo nên những khoảng trống giữa các răng được gọi là khe hở tam giác nướu. Nếu khe hở này lớn có thể sẽ gây ảnh hưởng đến thẩm mỹ, khiến người bị đánh mất sự tự tin trong giao tiếp cuộc sống hằng ngày”.
Trên là những lý giải cho câu hỏi “tam giác nướu là gì?”. Vậy nguyên nhân, cũng như là phương pháp khắc phục tam giác nướu là gì? Phần tiếp theo của bài viết sẽ cho bạn biết câu trả lời.
II. Nguyên nhân dẫn đến “tam giác nướu”bạn nên biết!
Vùng tam giác nướu xuất hiện có thể là do một vài nguyên nhân như: dùng tăm tre để lấy thức ăn mắc ở kẽ răng; bị tụt lợi do không biết cách chăm sóc răng đúng cách; do chân răng nằm cách xa nhau. Và đặc biệt, còn có 1 nguyên nhân khác, cũng là nguyên nhân chính dẫn đến xuất hiện tam giác nướu đó là do quá trình niềng răng để lại.
Tuy nhiên, các y bác sĩ Nha khoa cũng đã khẳng định “Không phải trường hợp nào niềng răng xong cũng sẽ gặp phải tình trạng tam giác nướu ở răng. Chỉ một số trường hợp là do cấu tạo của răng cũng như mắc phải các bệnh lý về răng từ trước nên mới bị tam giác nướu sau khi niềng mà thôi!”.
Cụ thể thì theo các bác sĩ chuyên sâu về niềng răng thì khe hở tam giác nướu chỉ thường xuất hiện sau niềng ở những người có hàm răng chen chúc, có tình trạng viêm nướu từ trước, bị viêm nha chu, có thân răng hình tam giác, hoặc ở những ca bị móm bù trừ xương ổ răng có răng cửa dưới nghiêng vào trong. Bởi vì:
– Răng chen chúc: Do vách xương ổ răng mỏng và hẹp, nên sau khi răng được dàn đều, mô nướu sẽ thiếu xương nâng đỡ từ đó sẽ gây ra tình trạng tụt nướu và khe hở tam giác nướu.
– Thân răng hình tam giác: Thường sẽ là vì phần rìa cắn lớn hơn so với vùng cổ răng nhiều, cho nên khi kéo khít phần cổ răng để niềng vẫn không thể tới sát nhau do phần rìa cắn đã đụng nhau và không thể di chuyển thêm nữa.
– Viêm nướu hoặc viêm nha chu: khi này sẽ xuất hiện tình trạng xương ổ răng tiêu không hoàn nguyên làm cho nướu răng thiếu phần nâng đỡ dẫn đến bị tụt nướu và gây nên khe hở tam giác nướu.
– Móm bù trừ xương ổ răng có răng cửa dưới nghiêng vào trong: thường thì xương ổ răng của vùng này thường mỏng, mô nướu sẽ thiếu xương nâng đỡ, bởi vậy sẽ gây ra các tình trạng tụt nướu, dẫn đến việc xuất hiện khe hở tam giác nướu gây mất thẩm mỹ.
Dù biết việc có tam giác nướu không gây nguy hiểm cho con người, nhưng biết được cách phòng ngừa và có được phương pháp khắc phục tam giác nướu vẫn sẽ giúp nhiều người tự tin hơn trong giao tiếp xã hội. Vậy cách phòng ngừa ra sao? Phương pháp điều trị như thế nào?
III. Phương pháp khắc phục tam giác nướu bạn nên biết
Như đã nói “tam giác nướu mặc dù không quá nguy hiểm nhưng nó sẽ gây ảnh hưởng nhiều đến thẩm mỹ răng miệng cho nhiều người”. Chính vì thế, mà các y bác sĩ nha khoa không đau Smile One đã đưa ra một số phương án khắc phục tình trạng tam giác nướu như sau:
– Dũa kẽ: Phương pháp này sẽ cần bạn mài đi một ít men răng phía mặt bên để tạo khoảng trống giữa các răng, sau đó sẽ niềng để đóng khoảng trống, thu hẹp khe hở tam giác nướu. Và phương pháp này thường được chỉ định cho những ca có thân răng hình tam giác.
– Trám kẽ răng: Phương pháp này chính là các bác sĩ sẽ giúp bạn đóng kẽ hở tam giác nướu bằng vật liệu nhân tạo có màu sắc, tính chất tương đồng với răng thật. Vật liệu nhân tạo đó sẽ được sử dụng để tạo hình thành các cạnh răng, giúp tăng kích cỡ ngang của thân răng, từ đó giúp bạn khắc phục tình trạng tam giác nướu ở răng.
– Veneer, răng sứ: Trong một số trường hợp, tam giác nướu răng lớn và không thể sử dụng 2 phương pháp trên, thì bạn cũng có thể xem xét đến biện pháp nha khoa thẩm mỹ như dán sứ Veneer hay là bọc răng sứ. Tùy vào tình trạng răng và mức độ lớn nhỏ của tam giác nướu của bạn mà các y bác sĩ sẽ gợi ý cho bạn phương pháp nào can thiệp đem đến hiệu quả cao nhất.
Và Nha khoa không đau Smile One không chỉ có thể áp dụng đầy đủ các phương pháp khắc phục tam giác nướu bên trên. Mà bằng cơ sở vật chất hiện đại; trang thiết bị tiên tiến; cùng kinh nghiệm và chuyên môn của mình, các bác sĩ của Smile Oen còn giúp bạn đưa ra gợi ý tốt nhất cho tình trạng tam giác nướu của bạn sao cho đạt hiệu quả lại hợp túi tiền nhất. Nếu có bất kỳ thắc mắc nào có liên quan đến răng miệng, hãy liên hệ đến Nha khoa không đau Smile One để được giải đáp kỹ càng hơn nha.
XEM NGAY DỊCH VỤ TRỒNG RĂNG IMPLANT TẠI NHA KHOA SMILE ONE TẠI ĐÂY




Hãy để lại bình luận của bạn bên dưới!
Nhập thông tin của bạn
×