Implant màng xương – Giải pháp phục hình răng cho người cao tuổi mắc nhiều bệnh lý nền
ThS.BS Bác sĩ NGUYỄN TUẤN DƯƠNG
- Giám đốc Hệ thống Nha khoa Smile One
- Hơn 22.000 khách hàng niềng răng
- Hơn 15.000 khách hàng trồng răng Implant
- Hơn 14.000 khách hàng răng sứ – veneer
- Gần 9.000 khách hàng nha khoa tổng quát
Việc trồng răng implant đã trở thành một giải pháp hiệu quả và bền lâu cho những ai bị mất răng. Tuy nhiên, không ít người vẫn băn khoăn về tính an toàn của phương pháp này đối với người cao tuổi, đặc biệt là có các bệnh lý nền có thể ảnh hưởng đến quá trình điều trị. Vậy đâu là phương pháp phù hợp và hiệu quả nhất cho nhóm đối tượng này? Hãy cùng Nha khoa Smile One tìm hiểu chi tiết trong bài viết dưới đây.
Nội dung
1. Trồng răng Implant cho người cao tuổi: Những lưu ý quan trọng
Tuy nhiên, đối với người cao tuổi mắc các bệnh lý nền, việc thực hiện cấy ghép implant không hề đơn giản. Những yếu tố như tình trạng sức khỏe tổng quát, sự ổn định của xương hàm và các bệnh lý nền có thể ảnh hưởng đến sự thành công của ca cấy ghép.
Các yếu tố quan trọng cần lưu ý khi cấy ghép implant cho người cao tuổi bao gồm:

(Các TH này cần thực hiện tại cơ sở theo đúng quy định của bộ y tế)
2. Lợi ích khi người cao tuổi chọn trồng răng implant màng xương
Ưu điểm của Implant màng xương:
- Không cần ghép xương, phù hợp với bệnh nhân tiêu xương nặng.
- Tích hợp chắc chắn, giảm nguy cơ đào thải.
- Phục hồi ăn nhai và thẩm mỹ cao, mang lại nụ cười tự tin.
Lợi ích của việc trồng răng Implant cho người cao tuổi:

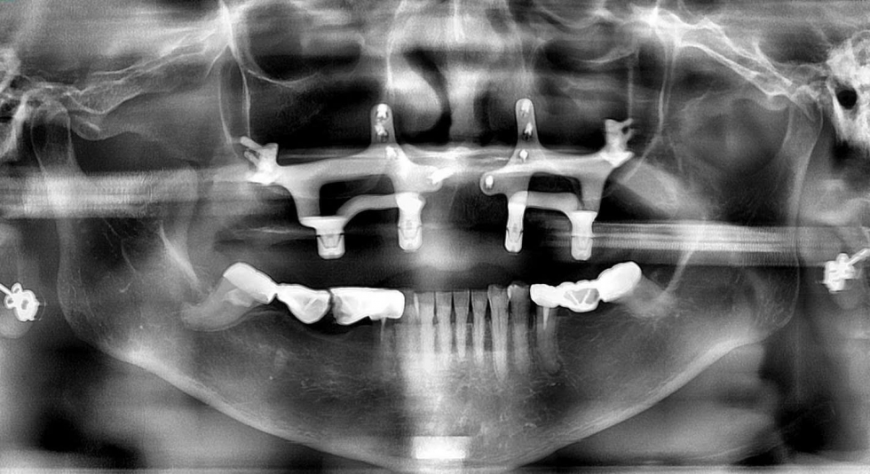
Ảnh minh họa: Ca cấy ghép implant màng xương
(Các TH này cần thực hiện tại cơ sở theo đúng quy định của bộ y tế)
3. Quy trình thực hiện cấy ghép Implant Màng Xương cho bệnh nhân
Bước 1: Chụp phim CBCT: Đây là bước đầu tiên để đánh giá tình trạng xương hàm và các yếu tố liên quan. Việc chọn địa chỉ chụp CT chất lượng cao là rất quan trọng vì hình ảnh không rõ nét sẽ ảnh hưởng đến quá trình thiết kế implant.

Bước 2: Lấy mẫu hàm và dữ liệu STL
Sau khi có kết quả phim CBCT, kỹ thuật viên sẽ tiến hành scan mẫu hàm của bệnh nhân để thu thập dữ liệu STL phục vụ cho việc thiết kế implant. Trong một số trường hợp, bác sĩ có thể mượn hàm giả của bệnh nhân để scan và xác định giá khớp, đảm bảo sự chính xác trong thiết kế.


Bước 3: Kiểm tra và thiết kế implant
Dữ liệu CBCT và STL sau khi được thu thập sẽ được gửi đến nhà sản xuất để kiểm tra và thiết kế implant. Bác sĩ và nhà sản xuất sẽ cùng thảo luận, điều chỉnh thiết kế để đảm bảo sự phù hợp và an toàn, nhằm tối ưu hóa tỷ lệ thành công của ca cấy ghép.
Bước 4: Cam kết và sản xuất implant
Sau khi thống nhất thiết kế, bác sĩ sẽ điền các thông tin cần thiết vào các mẫu form yêu cầu và gửi lại cho nhà sản xuất. Quá trình sản xuất implant thường kéo dài từ 1-2 tuần, tùy vào độ phức tạp của ca, đảm bảo sản phẩm đạt chất lượng cao nhất.
Bước 5: Cấy ghép Implant
Khi implant đã được sản xuất xong, bác sĩ sẽ thực hiện cấy ghép vào xương hàm của bệnh nhân. Sau khi cấy ghép, bệnh nhân cần thời gian để implant tích hợp hoàn toàn với xương hàm, đảm bảo sự ổn định lâu dài và chức năng ăn nhai như răng thật.
Quy trình cấy ghép Implant được thực hiện theo các tiêu chuẩn quốc tế, đảm bảo tuân thủ nghiêm ngặt các yêu cầu vô khuẩn và sử dụng thiết bị hiện đại cùng đội ngũ bác sĩ có chuyên môn cao, cam kết mang đến kết quả điều trị đảm bảo an toàn tối đa cho bệnh nhân.

Ảnh minh họa: Ca cấy ghép implant màng xương
(Các TH này cần thực hiện tại cơ sở theo đúng quy định của bộ y tế)


Hãy để lại bình luận của bạn bên dưới!
Nhập thông tin của bạn
×