Viêm nha chu ở trẻ em
ThS.BS Bác sĩ NGUYỄN TUẤN DƯƠNG
- Giám đốc Hệ thống Nha khoa Smile One
- Hơn 22.000 khách hàng niềng răng
- Hơn 15.000 khách hàng trồng răng Implant
- Hơn 14.000 khách hàng răng sứ – veneer
- Gần 9.000 khách hàng nha khoa tổng quát
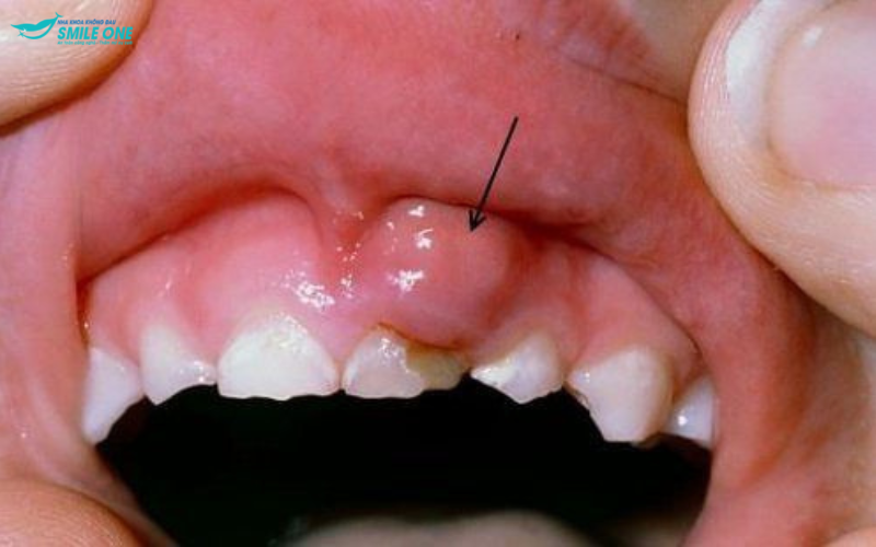
Khi nướu của trẻ có những dấu hiệu bất thường như sưng phồng, tấy đỏ hoặc tím, ấn vào thấy đau hoặc dễ chảy máu khi có tác động đánh răng, ăn uống,...thì có thể trẻ đã bị viêm nha chu.
1. Viêm nha chu ở trẻ là gì?
Nha chu là các tổ chức mô quanh chân răng bao gồm nướu, dây chằng và xương ổ răng. Chúng liên kết chặt chẽ với nhau tạo thành cấu trúc nâng đỡ và cố định răng trên xương hàm. Ở những giai đoạn đầu viêm nha chu ảnh hưởng đến nướu lợi, nếu không được điều trị kịp thời sẽ tiếp tục phát triển và ảnh phá hủy đến xương ổ răng.

Viêm nha chu ở trẻ do nhiều nguyên nhân, nhưng thường gặp nhất là thói quen vệ sinh răng miệng chưa tốt. Do còn nhỏ nên các bé chưa ý thức được về tầm quan trọng của vệ sinh răng miệng và đôi khi còn lười, quên đánh răng, làm sạch các mảng bám.
Ngoài ra, do thói quen ăn vặt, ăn nhiều đồ ngọt cũng làm cho các mảng bám lưu lại lâu hơn và tạo điều kiện cho vi khuẩn tấn công, gây các bệnh lý răng miệng, đặc biệt là viêm nha chu.

Hơn nữa, ở trẻ em, hệ thống nướu và các bộ phận xung quanh răng còn rất yếu, chưa đủ sức đề kháng để chống lại sự tấn công của những vi khuẩn gây bệnh, đây cũng là nguyên nhân gây nên viêm nha chu.
Do đó, cha mẹ cần nhận biết bệnh lý từ giai đoạn đầu để có cách điều trị hiệu quả cho con.
2. Biểu hiện viêm nha chu ở trẻ
► Viêm nha chu ở trẻ có một số biểu hiện như:
– Nướu sưng phồng, tấy đỏ hoặc có màu đỏ sẫm, tím sẫm
– Trẻ hay bị chân máu chân răng khi đánh răng hay khi ăn uống
– Lười ăn, ăn không ngon miệng bởi nướu sưng đau
– Hơi thở có mùi khó chịu

► Khi viêm nha chu ở giai đoạn nặng, xuất hiện mủ, có chất dịch chảy ra ở nướu răng.
– Xuất hiện vôi răng (cao răng) đóng ở cổ răng
– Nướu tụt dần ra khỏi răng, làm lung lay răng
– Hình thành túi mủ giữa răng và nướu
3. Điều trị viêm nha chu ở trẻ
Bệnh viêm nha chu ở trẻ em chủ yếu là do vi khuẩn trong mảng bám cao răng. Do đó, nếu bệnh được phát hiện sớm và bệnh mới chỉ dừng lại ở việc gây sưng tấy, nướu răng nhạy cảm,…bác sĩ sẽ tiến hành vệ sinh khoang miệng, làm sạch cao răng và mảng bám, tạo điều kiện cho mô nướu hồi phục và trở lại trạng thái bình thường. Sau đó sẽ kê đơn thuốc để trẻ điều trị ngay tại nhà.
Đối với những trường hợp viêm nha chu phát hiện muộn, xuất hiện túi mủ và bệnh đã phát triển khá phức tạp, bác sĩ sẽ phải giải quyết túi mủ và tình trạng viêm nhiễm.
Tùy vào mức độ nặng nhẹ của viêm nha chu mà bác sĩ sẽ cân nhắc các phương án điều trị, nếu bệnh lý quá nặng không thể giữ lại răng thì bác sĩ sẽ chỉ định nhổ răng để tránh viêm nhiễm lan rộng sang các răng khác.

Trong quá trình điều trị nha chu, bố mẹ cần đảm bảo thực hiện theo hướng dẫn của bác sĩ về chế độ chăm sóc răng miệng. Cần giữ răng miệng luôn sạch sẽ để hạn chế vi khuẩn, đồng thời lưu ý đến chế độ ăn uống, hạn chế các loại thực phẩm có tính axit hoặc có hàm lượng đường cao như bánh kẹo, nước ngọt,…
Trên đây là những thông tin về bệnh viêm nha chu ở trẻ em, nếu cần tư vấn thêm về cách điều trị bệnh lý này, bố mẹ liên hệ với Smile One để trực tiếp bác sĩ thăm khám cho con nhé!
———- ———- ———– ———-
NHA KHOA SMILE ONE – AN TOÀN CÔNG NGHỆ – THẨM MỸ NỤ CƯỜI
Hotline: 0938 874 358
Facebook: https://www.facebook.com/nhakhoasmileone.vn
Hà Nội:
CS1: 219 Giáp Nhất – Thanh Xuân, Hà Nội
CS2: 167 Quan Hoa – Cầu Giấy, Hà Nội
CS3: S3.02- SH12- Vin smart city (Tây Mỗ, Nam Từ Liêm, HN)
TP. Hồ Chí Minh:
CS1: 27 Nguyễn Hữu Thọ, P.Tân Hưng, Quận 7, Hồ Chí Minh
CS2: 5 Nguyễn Đình Chiểu, P.Đa Kao, Quận 1, Hồ Chí Minh
Thời gian làm việc:
– Thứ 2 – Thứ 7: 8h30 – 19h00
– Chủ nhật: 8h30 – 17h30
Hãy để lại bình luận của bạn bên dưới!
Nhập thông tin của bạn
×