Các cách trồng răng sứ phổ biến nhất hiện nay
ThS.BS Bác sĩ NGUYỄN TUẤN DƯƠNG
- Giám đốc Hệ thống Nha khoa Smile One
- Hơn 22.000 khách hàng niềng răng
- Hơn 15.000 khách hàng trồng răng Implant
- Hơn 14.000 khách hàng răng sứ – veneer
- Gần 9.000 khách hàng nha khoa tổng quát
Trồng răng sứ là một phương pháp phục hình răng mất hiệu quả mang đến cho người bị mất răng một hàm răng thẩm mỹ, đảm bảo chức năng ăn nhai. Vậy có những cách trồng răng sứnào? Cùng tìm hiểu với Nha Khoa Smile One trong bài viết dưới đây.
Nội dung
1. Trồng răng sứ bằng hàm tháo lắp

Trồng răng sứ bằng hàm tháo lắp là cách trồng răng sứ cổ điển chi phí thấp, được áp dụng nhiều với những người mất răng với số lượng lớn hoặc mất nguyên hàm.
Phục hình răng sứ bằng hàm tháo lắp đã từng là sự lựa chọn hàng đầu của những bệnh nhân bị mất răng mà không có đủ điều kiện để cấy ghép implant. Phục hình răng mất bằng hàm tháo lắp tuy chi phí thấp, nhưng tính thẩm mỹ không cao, bất tiện khi sử dụng vì mỗi lần về sinh răng miệng lại phải tháo hàm giả ra để vệ sinh cho sạch sẽ. Nền hàm tháo lắp được làm từ nhiều chất liệu khác nhau:
– Nền hàm nhựa: có hai loại là nhựa mềm và nhựa cứng
– Nền khung kim loại: có kim loại thường và kim loại titan
Ưu điểm của hàm tháo lắp là chi phí thấp nên được nhiều người lựa chọn. Tuy nhiên hàm tháo lắp không chắc chắn, cảm giác ăn nhai không được thật, nên vẫn thấy khó chịu khi nhai thức ăn; tính thẩm mỹ không được cao do móc giữ răng của khung kim loại có thể sẽ bị lộ ra; dễ bị gãy vỡ, mất nếu bảo quản không cẩn thận.
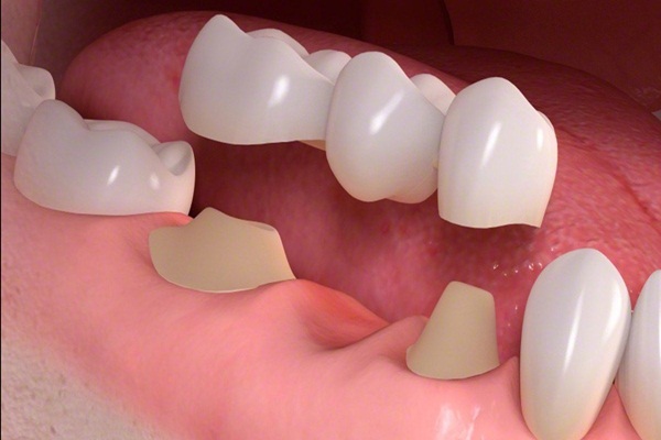
2. Phục hình răng mất bằng trồng răng cố định

Đây là phương pháp phục hình răng mất được rất nhiều người lựa chọn. Đây là phương pháp được nhiều người lựa chọn vì có nhiều ưu điểm vượt trội. Tuy nhiên trồng răng cố định không thể thực hiện với nhiều răng mất hoặc mất nguyên hàm.
Ưu điểm của phương pháp phục hình răng mất này là: độ bền cao vì răng được gắn chặt vào hàm. Người bệnh có thể nhai nuốt, ăn uống một cách dễ dàng đảm bảo chức năng ăn nhai như răng thật. Tính thẩm mỹ cao, vì màu sắc của răng sứ tương đồng với màu của răng thật.
Nhưng răng sứ cố định lại mắc phải một số nhược điểm là ngoại trừ phần răng bị mất thì các răng còn lại của hàm vẫn phải đảm bảo ở trong tình trạng khỏe mạnh thì mới có thể áp dụng được phương pháp này vì khi trồng răng sẽ phải mài cùi răng. Hơn nữa sau một vài năm sử dụng cầu răng sứ sẽ bị co lại tạo ra khoảng hở ở phần chân răng.
3. Cách trồng răng sứ bằng cấy ghép implant
Cấy ghép implant là một phương pháp phục hình răng mất được đánh giá là hiệu quả nhất trong những năm gần đây, Cấy ghép implant sử dụng công nghệ hiện đại, tiên tiến. Đây là phương pháp phục hình răng mất toàn diện nhất. Có thể khắc phục được nhược điểm của các phương pháp phục hình răng trước đó. Cấy ghép implant có thể phục hình từ 1 đến nhiều răng mất, thậm chí mất nguyên hàm với độ thẩm mỹ cao, bền và có thể áp dụng đối với mọi lứa tuổi.
Cấy ghép implant phục hình răng mất có ưu điểm là:
– Tính thẩm mỹ cao: Cấy ghép implant sử dụng mão sứ có màu sắc tương đồng với màu của răng thật.
– Đảm bảo chức năng ăn nhai: Răng implant có thân răng làm từ tụ implant có độ cứng cao, vì thế đảm bảo chức năng ăn nhai giống như răng thật.
– Răng implant có độ bền cao lên đến 20 năm, thậm chí là suốt đời nều được chăm sóc cẩn thận.
– Do không phải mài cùi răng, cho nên phục hình răng sứ bằng cấy ghép implant không làm ảnh hưởng hay làm tổn thương đến những chiếc răng bên cạnh. .
– Cấy ghép implant có thể phục hình từ 1 đến nhiều răng hoặc mất nguyên một hàm, thậm chí phục hình được cả trường hợp bị mất răng thời gian lâu, kể cả những trường hợp đã bị tiêu xương.
– Kỹ thuật cấy ghép implant được thực hiện bằng hệ thống máy móc hiện đại nên rất an toàn và không gây đau đớn cho người bệnh.
Tuy nhiên cấy ghép implant gặp phải một số nhược điểm sau:
– Chi phí trồng răng implant có nhiều ưu điểm nổi bật chính vì thế chi phí trồng răng không hề rẻ. Bởi vậy không phải ai cũng có điều kiện cấy implant.
– Thời gian điều trị kéo dài, thường phải mất từ 1 đến 3 tháng.
Địa chỉ trồng răng sứ uy tín
Trên đây là các cách trồng răng sứ đang được ứng dụng rất nhiều tại các phòng khám nha khoa hiện nay giúp khắc phục tình trạng răng mất, mang lại cho người bệnh một hàm răng đều, đẹp có giá trị thẩm mỹ. Một trong những phòng khám nha khoa được nhiều người lựa chọn để tiến hành phục hình răng mất là Phòng khám nha khoa Smile One.
Đây là một phòng khám nha khoa uy tín, có đội ngũ bác giỏi, chuyên môn cao, giàu kinh nghiệm, cùng một đội ngũ nhân viên chăm sóc y tế nhiệt tình chu đáo. Luôn mang đến cho người bệnh một hàm răng đẹp cùng với chất lượng dịch vụ tốt nhất. Không chỉ vậy, chi phí điều trị tại Nha Khoa Smile One cũng ưu đãi hơn so với các phòng khám khác.
Liên hệ ngay với Nha Khoa Smile One khi muốn phục hình răng bị mất.

Hãy để lại bình luận của bạn bên dưới!
Nhập thông tin của bạn
×