So sánh dán sứ veneer và bọc răng sứ
ThS.BS Bác sĩ NGUYỄN TUẤN DƯƠNG
- Giám đốc Hệ thống Nha khoa Smile One
- Hơn 22.000 khách hàng niềng răng
- Hơn 15.000 khách hàng trồng răng Implant
- Hơn 14.000 khách hàng răng sứ – veneer
- Gần 9.000 khách hàng nha khoa tổng quát
Bọc răng sứ và dán sứ veneer là xu hướng thẩm mĩ răng phổ biến hiện nay. Tuy nhiên không phải khách hàng nào cũng hiểu rõ về 2 phương pháp này. Bài viết dưới đây của Nha khoa Smile One sẽ cung cấp cho bạn thêm thông tin chi tiết về nội dung này.
1. Dán sứ veneer là gì?
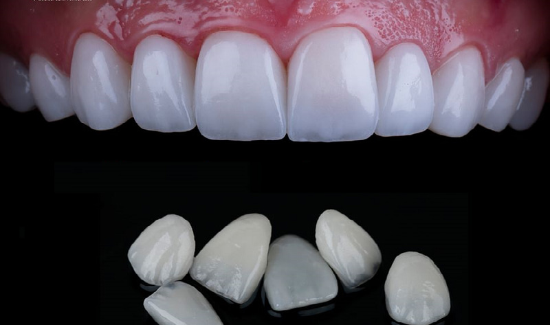
Dán sứ veneer là một phương pháp phục hình răng có giá trị thẩm mỹ cao. Phương pháp này được thực hiện dựa trên nguyên lý “ bám dính sinh học” thế hệ mới mang đến cho người bệnh một hàm răng khỏe đẹp, trắng sáng tự nhiên mà vẫn bảo tồn gốc răng một cách tối đa.
Dán sứ veneer được cầu thành bởi một mặt dán bằng sứ siêu mỏng và chất kết dính có chiết xuất từ Heliobond có độ cứng và tuổi thọ vô cùng kinh ngạc.
Công nghệ dán sứ veneer là phương pháp phục hình răng tiên tiến đến từ hoa kỳ này đã không chỉ giúp củng cố những tình trạng khuyết điểm về răng mà còn được gia tăng thêm những tiện ích không ngờ như:
– Mài răng rất ít, thậm chí trong các trường hợp răng thưa thì không phải mài.
– Màu sắc sứ tự nhiên, hình thể thì đa dạng, thích ứng với từng người dùng khác nhau.
– Miếng dán sứ veneer siêu mỏng chỉ từ 0.3 đến 0.5mm mang đến hiệu ứng pha trộn màu sắc của răng thật và màu của sứ tạo nên một màu răng tự nhiên, hài hòa đến hoàn hảo.
– Không gây hôi miệng, viêm lợi, không đau buốt và bong tróc, không đổi màu như với loại sứ thông thường.
– Dán sứ veneer có tính tương thích sinh học cực cao vì thế không tạo nên kích ứng cho vùng lợi và vùng nha chu.
– Có độ cứng tốt gấp 20 lần răng thật.
– Tuổi thọ cao kéo dài từ 15 đến 20 năm.
2. Bọc răng sứ là gì?
Bọc răng sứ hay còn gọi là chụp răng sứ là một thủ thuật phục hình răng trong nha khoa nhằm tái tạo lại chức năng cũng như vẻ đẹp của các răng bị hư hại. Việc bọc răng sứ sẽ được thực hiện bằng cách mài nhỏ một phần của răng bị hư và chụp một khung răng sứ lên trên, giống như tạo ra một lớp bọc chắc chắn cho răng thật. Chụp răng sứ sẽ giúp che đi những khuyết điểm trên răng và mang lại cho bạn một hàm răng chắc khỏe, nụ cười tươi sáng.
Những ưu điểm có thể kể tới của phương pháp bọc răng sứ thẩm mỹ gồm:
+ Bọc răng sứ giúp phục hồi lại chiếc răng bị sâu mất chất nhiều, răng vỡ mẻ, răng sau điều trị tủy, mòn răng,…
+ Dùng làm trụ cầu, răng trên implant thay thế răng mất, thiết kế nâng cấp nụ cười.
+ Bọc răng sứ đã được chứng minh là vật liệu an toàn với môi trường miệng và sức khỏe con người, có tuổi thọ lâu dài đến 10 năm, đến nay nó chính là vật liệu mô phỏng xuất sắc nhất màu sắc hình thể răng.
+ Màu sắc tự nhiên.
3. So sánh dán sứ veneer và bọc răng sứ
Bọc răng sứ và dán sứ veneer đều là những phương pháp thẩm mỹ phổ biến. Tuy nhiên không thể đánh giá phương pháp nào tốt hơn. Bởi vì tính hiệu quả của từng phương pháp phụ thuộc vào mức độ ăn nhai và thói quen, tình trạng răng và kỹ thuật làm răng sứ của bác sĩ. Chính vì thế, để lựa chọn phương pháp phù hợp nhất, bạn nên tới các cơ sở nha khoa uy tín để thăm khám.
– Thói quen ăn nhai đồ ăn cứng, dai và cường độ ăn nhai lớn sẽ ảnh hưởng tới độ bền của sứ veneer. Thậm chí sẽ dễ làm tổn thương tới các mô răng do tác động lực nhiều thì lớp sứ dán dễ bong hơn. Dán sứ veneer không phải sự lựa chọn tốt nhất khi cường độ ăn nhai nhiều. Trong trường hợp này, bạn nên lựa chọn bọc răng sứ.
Nếu cường độ nhai không quá lớn và bạn thường xuyên sử dụng các loại thức ăn mềm thì dán sứ veneer hoàn toàn phù hợp.
– Dán sứ Veneer không phù hợp với các răng bị thiểu sản, sâu, hoặc bị mòn vì trường hợp răng này không đủ chịu lực bám của lớp sứ, nếu dán sẽ không mang đến hiệu quả lâu dài. Theo các chuyên gia, trong trường hợp lớp men răng đã mất khoảng 50% thì dán sứ sẽ không mang đến hiệu quả như mong đợi và thường khuyên khách hàng lựa chọn bọc răng sứ.
– Trong trường hợp lệch khớp cắn thì bạn nên lựa chọn phương pháp bọc răng sứ, không nên chọn dán sứ veneer.
– Màu sắc răng dán sứ veneer, bọc răng sứ vô cùng quan trọng vì đây là yếu tố tạo nên “cảm giác thật” cho răng. Khi bạn cần bọc hay dán nhiều răng một lúc thì vấn đề màu sắc răng không quá khó khăn vì khi răng liền kề việc tạo màu sẽ rất dễ dàng.
Nếu chỉ bọc hoặc dán một số răng riêng lẻ thì việc tạo màu dường như gặp khó khăn hơn, Khi gặp trường hợp này thì dán sứ veneer sẽ là sự lựa chọn phù hợp vì màu sắc của sư veneer sẽ giống màu sắc ban đầu của răng thật. Tuy nhiên đây cũng là nhược điểm của dán sứ veneer. Khi răng bị nhiễm màu nặng hoặc có vết nứt lớn thì dán sứ veneer có thể không che được những khuyết điểm này. Ngược lại, bạn cần áp dụng phương pháp bọc răng sứ.
Ngoài ra, độ bền của răng sứ còn phụ thuộc vào chất lượng và kỹ thuật dán sứ veneer hay bọc răng sứ của bác sĩ.
Chính vì vậy, khi lựa chọn một trong hai phương pháp này, bạn nên tìm hiểu kỹ các yếu tố trên để việc dán sứ veneer hoặc bọc răng sứ được hiệu quả và phù hợp nhất.


Hãy để lại bình luận của bạn bên dưới!
Nhập thông tin của bạn
×