NHỔ RĂNG KHÔN
ThS.BS Bác sĩ NGUYỄN TUẤN DƯƠNG
- Giám đốc Hệ thống Nha khoa Smile One
- Hơn 22.000 khách hàng niềng răng
- Hơn 15.000 khách hàng trồng răng Implant
- Hơn 14.000 khách hàng răng sứ – veneer
- Gần 9.000 khách hàng nha khoa tổng quát
Nhổ răng khôn là cách để giúp người bệnh loại bỏ tình trạng đau đớn, viêm nhiễm… ở hàm do răng khôn gây ra. Vậy tại sao phải nhổ răng số 8 ( răng khôn), quy trình nhổ răng diễn ra như thế nào? Chúng ta cùng tìm hiểu.
Nội dung
- 1 1. Tại sao nên nhổ răng số 8
- 2 2. Kỹ thuật nhổ số 8 không đau nhức tại Nha khoa Smile One
- 3 3. Quy trình nhổ răng số 8 chuẩn y tế tại Nha khoa Smile One
- 4 4. Chọn nha khoa kém uy tín để nhổ răng có thể gây ra các biến chứng nguy hiểm
- 5 5. Chi phí nhổ răng số 8 tại Nha Khoa Smile One
- 6 6. Cảm nhận của khách hàng sau khi trải nghiệm nhổ răng khôn tại Nha khoa Smile One
1. Tại sao nên nhổ răng số 8
Việt Kiều Anh về nước nhổ 3 răng khôn mọc lệch, mọc ngầm
Răng số 8 là chiếc răng cuối cùng mọc trên cung hàm và mọc khi chúng ta đã ở tuổi trưởng thành nên thường được gọi là răng khôn. Vậy tại sao lại phải nhổ răng khôn?
– Do răng khôn bị sứt mẻ với mảng lớn, nặng nề và không thể đảo bảo được chức năng ăn nhai.
– Do yêu cầu bắt buộc trong những trường hợp chỉnh nha, phục hình thẩm mỹ…
– Do răng khôn bị sâu rất nặng, bị viêm nhiễm mãn tính, bị viêm tủy nặng nề mà không hề phục hồi được và có nguy cơ bị lây lan và ảnh hưởng tới sức khỏe của răng số 7 bên cạnh.
– Răng bị mọc lệch, bị mọc ngầm, mọc đâm xiên gây ra sâu răng, gây ra đau nhức dẫn đến bị e buốt, loạn khớp thái dương hàm.
– Sự xuất hiện của răng số 8 gây ra lợi trùm, sưng tấy và không có chức năng ăn nhai lẫn tính thẩm mỹ.
2. Kỹ thuật nhổ số 8 không đau nhức tại Nha khoa Smile One
Ths.Bs Nguyễn Tuấn Dương nhổ răng khôn cho khách hàng Nguyễn Hữu An
Nha khoa Smile One là một phòng khám nha khoa hiện đại luôn luôn đi đầu trong việc ứng dụng những công nghệ hiện đại, tiến tiến trong điều trị. Và trong nhổ răng số 8 cũng vậy, Nha khoa Smile One cũng luôn luôn đặt lên hàng đầu.
Ứng dụng công nghệ nhổ răng bằng siêu âm Supersonic
Hiện tại Nha khoa Smile One đang ứng dụng công nghệ nhổ răng bằng siêu âm Supersonic 5s giúp đem đến những trải nghiệm tuyệt vời cho người bệnh, không gây đau đớn cho người bệnh trong suốt quá trình nhổ răng. Công nghệ nhổ răng này có những ưu điểm như:
– Là phương pháp nhổ răng an toàn không gây tổn thương đến nướu và mô mềm bởi bước sóng siêu âm với tần suất từ 28 đến 36KHZ.
– Với công nghệ nhổ răng siêu âm Supersonic 5s giúp rút ngắn thời gian nhổ răng một cách tối đa chỉ còn 15 đến 30 phút.
– Khi nhổ răng bác sĩ sẽ tiến hành gây tê sẽ giúp cho bạn không cảm thấy bị đau đớn, khó chịu.
– Công nghệ nhổ răng Supersonic 5s giúp hỗ trợ phục hồi vết thương sau khi nhổ răng một cách nhanh chóng, giúp khép nướu chính xác bằng dung dịch sát khuẩn trong môi trường tiểu phẫu vô trùng.
Nhổ 4 răng khôn cùng lúc để niềng răng sẽ là trải nghiệm như thế nào
Ứng dụng công nghệ PRF cấy tế bào tự thân
Đặc biệt, ứng dụng công nghệ PRF – công nghệ sinh học cấy tế bào tự thân từ chính cơ thể bạn nhằm kích thích chữa lành vết thương, tái tạo mô, bảo quản ổ xương và rút ngắn thời gian lành thương. Giúp khách hàng hạn chế sưng đau, nhanh lành thương hơn so với các phương pháp thông thường.
Sử dụng miếng dán nhanh lành thương ORA – AID
Miếng dán nhanh lành thương ORA – AID tại nha khoa Smile One.
Không cần lo lắng về vết thương sau khi nhổ răng khôn vì đã có miếng dán nhanh lành thương ORA – AID tại nha khoa Smile One.
– Dùng khi cấy ghép Implant, vết thương sau tiểu phẫu nhổ răng, chỉnh nha, vết khâu hở, phẫu thuật nha chu, viêm loét miệng…
– Sản phẩm có công dụng cầm máu hiệu quả nhờ khả năng hút dịch tiết ra từ vết thương.
– Bảo vệ vết thương tránh tiếp xúc với thức ăn, vi khuẩn, các tác động cơ học khác trong môi trường miệng, giảm nguy cơ nhiễm trùng và tổn thương.
– Có tác dụng hỗ trợ giảm đau nhờ thành phần vitamin E. Sản phẩm không chứa Eugenol.
– Mỏng, gọn nhẹ, trong suốt. Không gây cộm hay khó chịu cho bệnh nhân.
– Tự dính lên miệng vết thương nhờ phản ứng với nước bọt và bám dính trong 6-12 giờ (hàm trên), 4-6 giờ (hàm dưới) và có thể thay đổi tùy vị trí vết thương.
Nhổ răng khôn không đau chỉ sau 10 phút tại nha khoa Smile One, bạn không cần lo lắng sau nhổ vết thương sẽ lâu lành nữa.
3. Quy trình nhổ răng số 8 chuẩn y tế tại Nha khoa Smile One
Quy trình nhổ răng số 8 chuẩn y tế tại nha khoa Smile On được tiến hành theo các bước sau:
Bước 1: Thăm khám đánh giá độ khó của răng
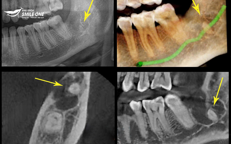
Thăm khám để đánh giá độ khó của răng chính là việc đầu tiên mà bác sĩ sẽ làm trước khi tiến hành nhổ răng số 8 cho người bệnh. Dựa vào kết quả thăm khám và kết quả chụp phim X-Quang bác sĩ đưa ra được những chỉ định chính xác.
Tại Smile One, bác sĩ sẽ tư vấn cho bệnh nhân chụp X- quang tại các cơ sở được cấp phép, uy tín hoặc bệnh nhân có thể chủ động chụp X – quang và mang phim tới phòng khám.
Bước 2: Tiến hành sát khuẩn vị trí răng cần nhổ và gây tê tại chỗ
Sau khi thăm khám và xác định được độ khó của răng, việc tiếp theo bác sĩ sẽ làm đó chính là sát khuẩn vị trí răng cần nhổ và tiến hành gây tê tại chỗ để giúp giảm tối đa sự đau đớn cho người bệnh trong quá trình nhổ răng.
Bước 3: Tiến hành nhổ răng khôn
Tùy thuộc vào tình trạng của răng mà bác sĩ sẽ đưa ra sự lựa chọn phù hợp về khí cụ sử dụng để hỗ trợ cho quy trình nhổ răng. Bằng máy siêu âm đời mới nhất Supersonic 5s các dây chằng ở chân răng sẽ dễ dàng bị đứt ra hạn chế tối đa chảy máu và sự ảnh hưởng tới nướu và mô mềm.
Bước 4: Cầm máu, khâu nướu và hoàn thiện
Sau khi toàn bộ chân răng đã được lấy ra, bác sĩ sẽ tiến hành cầm máu cho người bệnh, rồi tiến hành khâu nướu và sát trùng một lần nữa tại vị trí răng bị nhổ ra. Trong một số trường hợp bác sĩ có thể chỉ định dùng thuốc bôi tại chỗ để loại bỏ những loại vi khuẩn gây hại trong vài tiếng đồng hồ.
Bước 5: Kê đơn thuốc kháng viêm và hướng dẫn chăm sóc răng miệng sau nhổ răng
Sau khi nhổ răng và hết tác dụng của thuốc tê chắc chắn sẽ khiến cho người bệnh cảm giác bị đau đớn ở vùng nhổ răng nên bác sĩ sẽ kê đơn thuốc giảm đau và hướng dẫn người bệnh cách chăm sóc răng miệng sau nhổ răng.
4. Chọn nha khoa kém uy tín để nhổ răng có thể gây ra các biến chứng nguy hiểm
Khi thực hiện thủ thuật nhổ răng khôn, nếu bác sĩ không lấy hết phần chân răng còn sót lại trong xương hàm, tình trạng này có thể dẫn đến nhiều biến chứng nguy hiểm khôn lường. Chân răng còn sót lại có thể gây nhiễm trùng, đau nhức làm cho vùng nhổ răng không thể lành thương lại được.
Viêm nhiễm và nhiễm trùng tái phát: Chân răng sót lại có thể là nơi tích tụ vi khuẩn, gây viêm nhiễm. Viêm có thể dẫn đến sưng tấy, đau nhức, và đôi khi là nhiễm trùng nặng nếu không được xử lý kịp thời.
Phim chụp X quang vị trí nhổ răng để sót chân răng gây viêm nhiễm
Đau nhức kéo dài: Sót chân răng có thể tạo ra áp lực trong xương và mô mềm xung quanh, khiến bệnh nhân cảm thấy đau đớn liên tục. Điều này không chỉ làm giảm chất lượng cuộc sống mà còn làm chậm quá trình hồi phục.
Tổn thương mô và xương hàm: Việc sót chân răng có thể dẫn đến tổn thương xương hàm, làm suy yếu cấu trúc xương. Điều này có thể gây khó khăn trong việc phục hồi sau khi nhổ răng và ảnh hưởng đến các thủ thuật nha khoa sau này như cấy ghép implant.
Khó khăn trong phục hình răng: Nếu chân răng còn sót lại ở vị trí cần được phục hình răng, các phương pháp phục hình răng sau khi nhổ như cấy ghép hoặc làm cầu răng có thể gặp khó khăn. Việc lấy hết chân răng là yếu tố quan trọng để tạo ra một nền tảng vững chắc cho các biện pháp phục hình sau này.
Việc nhổ sót chân răng do bác sĩ tay nghề kém, chủ quan để lại quá nhiều biến chứng nguy hiểm cho khách hàng. Vậy khách hàng phải làm gì và có giải pháp nào để tránh được việc nhổ sót chân răng đây?
5. Chi phí nhổ răng số 8 tại Nha Khoa Smile One

6. Cảm nhận của khách hàng sau khi trải nghiệm nhổ răng khôn tại Nha khoa Smile One
Nhổ răng 8 mọc ngầm với công nghệ sóng siêu âm Piezotome
Nhổ răng 8 nhẹ tênh tại nha khoa Smile One
Răng 8 nghiêng 45 độ nhổ nhẹ nhàng sau 10 phút




Hãy để lại bình luận của bạn bên dưới!
Nhập thông tin của bạn
×