Cầu răng sứ là gì? Làm cầu răng sứ có bền không?
ThS.BS Bác sĩ NGUYỄN TUẤN DƯƠNG
- Giám đốc Hệ thống Nha khoa Smile One
- Hơn 22.000 khách hàng niềng răng
- Hơn 15.000 khách hàng trồng răng Implant
- Hơn 14.000 khách hàng răng sứ – veneer
- Gần 9.000 khách hàng nha khoa tổng quát
Mất răng khiến cho nhiều người cảm thấy khó khăn và bất tiện trong ăn uống, thậm chí ảnh hưởng rất nhiều đến tính thẩm mỹ. Chính vì vậy, làm cầu răng sứ là một trong những giải pháp hiệu quả được sử dụng phổ biến để khắc phục tình trạng trên. Vậy cầu răng sứ là gì? Làm cầu răng sứ có bền không? Trong bài viết này, chúng tôi sẽ chia sẻ và giúp bạn có sự lựa chọn phù hợp khi cân nhắc thay thế chiếc răng bị mất của mình.
Nội dung
Cầu răng sứ là gì?
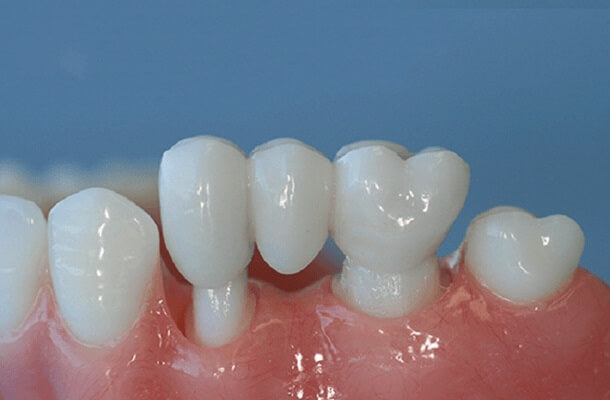
Cầu răng sứ là cầu răng được làm bằng vật liệu sứ, được coi là phương pháp khôi phục răng hiệu quả và phổ biến hiện nay. Phương pháp làm cầu răng sứ sẽ được bác sĩ thực hiện bằng cách mài nhỏ hai răng bên cạnh răng đã mất. Sau đó dùng một cầu răng gồm 3 mão sứ để gắn lên. Răng sứ ở giữa sẽ thay thế cho răng bị mất, còn hai răng sứ bên cạnh sẽ có chức năng làm trụ đỡ cho cầu răng.
Hình ảnh cầu răng sứ.
Làm cầu răng sứ có bền không?
Theo các chuyên gia trong lĩnh vực răng hàm mặt, làm cầu răng sứ có bền hay không còn phụ thuộc vào nhiều yếu tố. Trong đó có các yếu tố về mão răng, cùi răng, tay nghề của bác sĩ và cách chăm sóc răng miệng.
Cầu răng sứ – giải pháp hiệu quả cho người mất răng.
Chất liệu mão sứ
Khi làm cầu răng sứ, mão sứ là chất liệu không thể thiếu đối với quá trình phục hình răng đã mất. Chính vì vậy, nếu chất liệu mão sứ tốt thì sẽ mang lại hiệu quả tốt cho răng miệng, còn nếu mão sứ kém chất lượng thì đương nhiên sẽ để lại những biến chứng khó lường. Hiện nay, trên thị trường có 2 chất liệu mão sứ: Mão răng sứ kim loại và mão răng sứ nguyên chất.
Răng sứ kim loại là loại răng có lớp sườn được tao nên từ kim loại và bên ngoài được phủ bởi một lớp sứ. Loại răng sứ này thường có giá thành thành rẻ, tuy nhiên khi sử dụng được vài năm thì khung kim loại sẽ bị tụt ra khỏi nướu răng, mất tính thẩm mỹ.
Răng sứ nguyên chất (răng toàn sứ): Loại răng này được làm 100% bằng sứ, tuy giá thành cao nhưng có độ bền hơn răng sứ kim loại.
Chất lượng của cùi răng
Chất lượng cùi răng có một vai trò vô cùng quan trọng trong việc hỗ trợ cho phần răng đã mất. Vậy nên khi làm cầu răng sứ, đòi hỏi hai răng kế cận phải đủ chắc chắn, khỏe để làm cùi, cũng như mang lại hiệu quả cao, đảm bảo độ bền lâu dài. Ngược lại, nếu như cùi răng yếu, không đủ khỏe thì sẽ ảnh hưởng tới tuổi thọ và độ bền của cầu răng.
Kỹ thuật làm cầu răng
Kỹ thuật làm cầu răng sứ có tốt hay không phần lớn phụ thuộc vào tay nghề của bác sĩ. Bác sĩ có chuyên môn cao, giàu kinh nghiệm sẽ có kỹ thuật làm cầu răng chuẩn sẽ mang lại cho bệnh nhân một hàm răng chắc khỏe. Còn nếu kỹ thuật mài cùi răng, lắp răng không cẩn thận thì sẽ dẫn đến những biến chứng khó lường cho răng miệng. Chính vì vậy, làm cầu răng có bền hay không một phần phụ thuộc đến kỹ thuật thực hiện của bác sĩ.
Chăm sóc răng miệng đúng cách

Chăm sóc răng miệng cẩn thận sau khi làm cầu răng sứ.
Để cầu răng sứ được luôn được sạch sẽ, có độ bền lâu dài, bạn cần chăm sóc răng miệng cẩn thận.
– Bạn nên thường xuyên đánh răng 2 lần/ngày vào buổi sáng khi thức dậy và buổi tối trước khi đi ngủ. Khi chải không nên tác động mạnh vì như vậy sẽ ảnh hưởng đến trụ cầu. Cần chải đủ hai mặt trong và ngoài để đảm bảo sach mảng bám, thức ăn ở răng.
– Lưu ý thêm khi chải răng cần sử dụng bàn chải lông mềm, tránh dùng các bàn chải lông cứng. Vì như vậy rất dễ ảnh hưởng đến độ chắc khỏe của răng.
-Sau khi ăn xong, bạn nên sử dụng chỉ nha khoa để làm sạch răng, tránh các tình trạng thức ăn mắc vào kẽ răng khiến sinh ra các bệnh viêm nướu, sâu răng.
-Nên sử dụng những loại nước súc miệng chứa Flour hoặc các loại nước muối sinh lý để vệ sinh răng. Sau đó nhớ súc lại bằng nước lọc nhé.
Trên đây là những thông tin giải đáp về phương pháp làm cầu răng sứ của Nha khoa Smile One. Để biết rõ tình trạng răng của bản thân, bạn nên đến địa chỉ nha khoa của chúng tôi để các bác sĩ thăm khám và tư vấn chi tiết hơn nhé.


Hãy để lại bình luận của bạn bên dưới!
Nhập thông tin của bạn
×