Lệch khớp cắn khắc phục thế nào ? một số cách khắc phục nhanh
ThS.BS Bác sĩ NGUYỄN TUẤN DƯƠNG
- Giám đốc Hệ thống Nha khoa Smile One
- Hơn 22.000 khách hàng niềng răng
- Hơn 15.000 khách hàng trồng răng Implant
- Hơn 14.000 khách hàng răng sứ – veneer
- Gần 9.000 khách hàng nha khoa tổng quát
Sai lệch khớp cắn là một dạng khuyết điểm phổ biến ở nhiều người. Tình trạng này không chỉ ảnh hưởng đến sức khỏe răng miệng mà còn gây mất thẩm mỹ gương mặt. Vậy khắc phục lệch khớp cắn như thế nào, tìm hiểu cùng nha khoa Smile One nhé!
Nội dung
1. Lệch khớp cắn là gì?
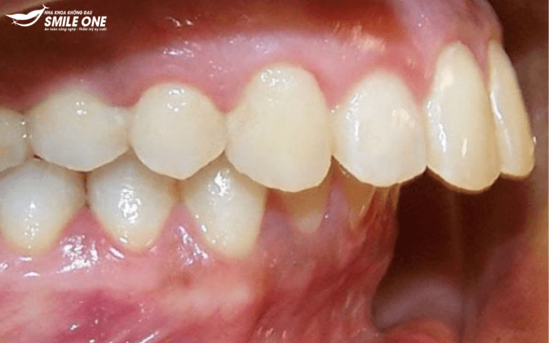
Lệch khớp cắn là tình trạng mất tương quan giữa hai hàm do cấu trúc xương hàm phát triển quá mức khiến răng hàm trên và hàm dưới không khớp lại với nhau. Các răng trên cung hàm mọc lệch lạc và không thẳng hàng nên gây ảnh hưởng đến tính thẩm mỹ của khuôn mặt, khó khăn trong ăn nhai, phát âm không chuẩn.
Các loại sai lệch khớp cắn:
► Khớp cắn ngược (răng móm): khi xương hàm dưới phát triển quá mức nên đưa hẳn ra ngoài, còn xương hàm trên lại quá ngắn cụp vào trong. Khi nhìn nghiêng sẽ thấy môi dưới chìa hẳn ra so với môi trên khiến khuôn mặt mất cân đối, tác động xấu đến cử động của hàm.

► Khớp cắn sâu (răng hô): là sự mất cân đối của hàm trên và hàm dưới, khiến hàm dưới nằm ở phía trong và khuất sâu ở trong hàm trên. Khi nhìn nghiêng sẽ thấy phần hàm dưới bị che đi nhiều, tương quan ba phần trán, mũi & cằm giống người bị vẩu.

► Khớp cắn chéo: sự sai lệch của hàm răng khi các răng bị xô lệch, cái thò cái thụt không theo trật tự, phá vỡ sự đối xứng của hai hàm răng trên dưới.

► Khớp cắn hở: nhóm răng cửa bị hở nên có thể nhìn thấy cả lưỡi ngay cả khi khép răng ở trạng thái nghỉ bình thường. Nhóm răng ở hai hàm không thể chạm nhau tạo thành khoảng hở khiến việc ăn nhai, cắn xé thức ăn gặp khó khăn.

2. Tác hại của sai lệch khớp cắn
Việc sai lệch khớp cắn không chỉ ảnh hưởng đến thẩm mỹ của khuôn mặt, mà còn là nguyên nhân gây nên các bệnh lý răng miệng nguy hiểm.
– Cản trở việc ăn nhai, nghiền nát thức ăn
– Gây đau cơ, đau nhức thái dương hàm
– Làm tăng các nguy cơ mắc các bệnh lý răng miệng: viêm nha chu, viêm nướu,…
– Phát âm không chuẩn
– Kéo theo nhiều bệnh lý về đường hô hấp, dạ dày,…
Mất tự tin trong giao tiếp, gây bất lợi trong xây dựng các mối quan hệ trong xã hội. Lâu dần trở thành “cái bóng” mặc cảm ảnh hưởng đến tâm lý của người bệnh.

Vì thế, bạn nên xử lý tình trạng sai lệch khớp cắn càng sớm càng tốt để bảo vệ sức khỏe răng miệng, đồng thời tăng tính thẩm mỹ cho hàm răng và khuôn mặt.
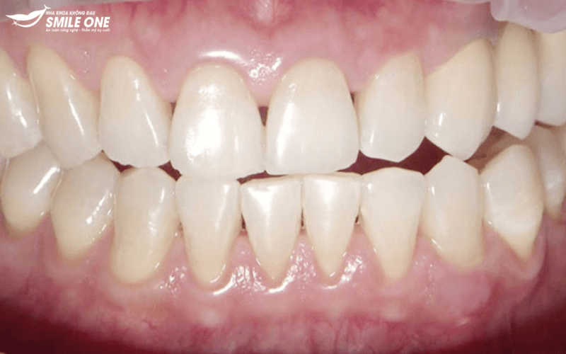
3. Cách khắc phục lệch khớp cắn
Khắc phục lệch khớp cắn bằng phương pháp nào còn tùy thuộc vào mức độ cũng như tình trạng sai lệch khớp cắn của từng người mà bác sĩ sẽ đưa phương án điều trị phù hợp nhất. Điều bạn cần làm đầu tiên là lựa chọn được địa chỉ nha khoa uy tín, sở hữu đội ngũ bác sĩ chuyên môn cao và thiết bị máy móc hỗ trợ hiện đại để có thể chẩn đoán chính xác tình trạng mà bạn gặp phải.
► Nhổ bớt răng: phù hợp với đối tượng trẻ em và thiếu niên khi hàm răng mọc chen chúc, nhổ bớt răng sữa đi để giúp răng vĩnh viễn có chỗ để mọc lên (trừ những trường hợp bắt buộc thì bác sĩ mới chỉ định nhổ bỏ răng vĩnh viễn).
► Bọc răng sứ: có thể áp dụng đối với sai khớp cắn ở mức độ nhẹ. Bác sĩ sẽ tiến hành mài cùi răng theo một tỉ lệ nhất định và bọc mão sứ lên vùng khớp cắn lệch sao cho hài hòa, cân xứng nhất.
► Niềng răng chỉnh nha: đây là phương pháp sử dụng các khí cụ nha khoa để tạo lực nắn chỉnh, di chuyển răng về vị trí mong muốn. Ngay sau khi điều trị, bạn sẽ có ngay một hàm răng đều đặn, khớp cắn chuẩn. Hiện nay có nhiều loại niềng răng để khách hàng lựa chọn theo nhu cầu & chi phí của mình: mắc cài kim loại, mắc cài sứ, mắc cài trong, khay niềng trong suốt,…

► Phẫu thuật: nếu nguyên nhân sai lệch là do di truyền hoặc do cả răng và hàm, bác sĩ sẽ tiến hành phẫu thuật kết hợp với niềng răng để đưa răng về đúng lại vị trí khớp cắn ban đầu mà không gây ảnh hưởng đến đường nét của khuôn mặt. Phẫu thuật hàm chỉ được thực hiện khi bệnh nhân đã đủ điều kiện trên 18 tuổi, bởi lúc này cấu trúc răng đã tương đối ổn định và kết thúc quá trình phát triển.
Lệch khớp cắn là tình trạng nên được khắc phục sớm để ngăn chặn những phiền toái mà tình trạng này gây ra. Một trong những địa chỉ nha khoa được nhiều người lựa chọn là nha khoa Smile One – sở hữu đội ngũ bác sĩ chuyên môn cao và cơ sở vật chất được trạng bị những công nghệ hiện đại, hỗ trợ cho việc thăm khám và điều trị đạt hiệu quả tốt hơn. Liên hệ ngay với Smile One để được tư vấn cụ thể hơn bạn nhé!
Hãy để lại bình luận của bạn bên dưới!
Nhập thông tin của bạn
×