Niềng răng khớp cắn hở có hiệu quả không?
Các trường hợp sai lệch khớp cắn cần được khắc phục càng sớm càng tốt. Đặc biệt, khớp cắn hở là dạng sai lệch khớp cắn nghiêm trọng, ảnh hưởng trực tiếp đến khả năng ăn nhai và thẩm mỹ khuôn mặt. Niềng răng chỉnh nha là phương pháp được sử dụng phổ biến để khắc phục khớp cắn hở.
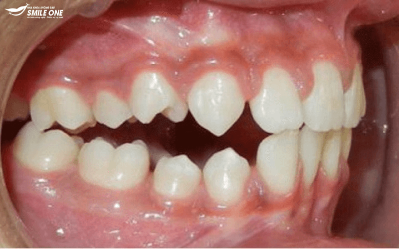
1. Khớp cắn hở là gì?
Khớp cắn hở xảy ra khi hàm trên và hàm dưới của răng không chạm được vào phía trước hoặc phía sau của miệng khi hàm đã đóng, có thể nhìn thấy đầu lưỡi qua khe hở khi giao tiếp hay cả khi hàm ở trạng thái nghỉ. Có những trường hợp bị khớp cắn hở sau thì nhóm răng hàm ở cả hai hàm không thể chạm vào nhau.
Khớp cắn hở được chia thành 2 loại:
► Cắn hở trước: là tình trạng các răng cửa của hàm trên không thể chạm vào nhóm răng cửa ở hàm dưới ngay cả khi đã đóng hoàn toàn hoặc trong trạng thái nghỉ ngơi.

► Cắn hở sau: là tình trạng răng hàm ở cả hai hàm đều không thể chạm vào nhau dù đóng hàm hoàn toàn hoặc đang trong trạng thái nghỉ ngơi.

2. Những dấu hiệu đặc trưng của khớp cắn hở
Bạn có thể nhận biết khớp cắn hở dựa vào những đặc điểm như sau:
► Nhóm răng trước của cả hai hàm bao gồm răng cửa chính, răng cửa phụ và răng nanh đều không thể chạm vào nhau, tạo ra những khoảng hở trên hàm.
► Cung răng hàm trên thường có dạng chữ V
► Các răng phía sau bao gồm răng tiền hàm, răng hàm không thể cắn chạm vào nhau.
► Nếu cắn hở gây hô thì các đường nối phần trán – mũi – cằm thường bị gấp khúc hoặc không có sự hài hòa.
► Gặp khó khăn trong việc cắn xé, ăn nhai thức ăn
3. Tác hại của khớp cắn hở
Khớp cắn hở ảnh hưởng trực tiếp đến quá trình ăn nhai và thẩm mỹ gương mặt, cụ thể:
► Khó khăn ăn nhai: do hai hàm không chạm được vào nhau nên việc cắn xé, nghiền nát thức ăn sẽ gặp trở ngại. Lúc này răng hàm sẽ phải đảm nhiệm nhiệm vụ ăn nhai nhiều hơn, lâu này sẽ bị quá tải gây nguy hại cho hàm răng.
► Mất thẩm mỹ gương mặt: khớp cắn hở lưỡi gây mất thẩm mỹ khi giao tiếp với người đối diện. Trường hợp khớp cắn hở gây hô còn làm nụ cười trở nên kém duyên hơn.
► Gây ra các bệnh lý khác: các dạng sai lệch khớp cắn thường tiềm ẩn nguy cơ rối loạn khớp thái dương hàm. Cần đưa khớp cắn về vị trí chuẩn để loại bỏ các nguy cơ có hại cho sức khỏe răng miệng, phòng ngừa nhiều bệnh lý nguy hiểm khác.
4. Niềng răng khớp cắn hở có hiệu quả không?
Niềng răng chỉnh nha khớp cắn hở là phương pháp điều trị nha khoa phổ biến nhằm đưa khớp cắn về tỷ lệ chuẩn, hàm trên và hàm dưới cân xứng với nhau. Tùy thuộc vào từng mức độ và nhu cầu của từng người mà lựa chọn các phương pháp niềng răng khác nhau.
► Niềng răng mắc cài: phương pháp niềng răng truyền thống với hệ thống mắc cài và các khí cụ (dây cung, dây chun, minivis,…) tạo lực giúp răng di chuyển về vị trí đúng trên cung hàm. Niềng răng mắc cài vừa đạt hiệu quả chỉnh nha tốt mà vừa có chi phí hợp lý, phù hợp với nhiều đối tượng khách hàng.

► Niềng răng trong suốt: phương pháp niềng răng hiện đại vừa đảm bảo hiệu quả điều trị vừa mang tính thẩm mỹ cao cho người niềng. Khay niềng trong suốt ôm khít chân răng giúp răng dịch chuyển chính xác và liên tục, giúp quá trình niềng răng thoải mái và không đau.

Lợi ích của niềng răng khớp cắn hở:
► Cải thiện khả năng ăn nhai: Chức năng ăn nhai được khôi phục và bạn có thể ăn nhai, cắn xé thức ăn như bình thường. Khi đó cơ thể sẽ hấp thu dinh dưỡng tốt hơn, hệ tiêu hóa cũng hoạt động khỏe mạnh.
► Thay đổi diện mạo khuôn mặt: Niềng răng khớp cắn hở không chỉ tác động đến răng, khớp cắn mà còn giúp bạn lấy lại khuôn mặt cân đối, hài hòa. Từ đó bạn sẽ tự tin với nụ cười của mình và khả năng giao tiếp sẽ tốt hơn.
► Bảo vệ răng và khớp cắn: ngăn ngừa rối loạn khớp thái dương hàm và tình trạng gãy vỡ, mài mòn răng.
5. Địa chỉ niềng răng khớp cắn hở uy tín tại Hà Nội
Bạn cần lựa chọn địa chỉ nha khoa uy tín, bác sĩ có kinh nghiệm và tay nghề cao để điều trị khớp cắn hở.
Nha khoa Smile One là địa chỉ niềng răng chất lượng top đầu Hà Nội đã thực hiện niềng răng chỉnh nha cho nhiều trường hợp khớp cắn hở thành công. Khách hàng hài lòng và tự tin hơn với hàm răng khỏe đẹp, chuẩn khớp cắn. Đến với Smile One, bạn sẽ được thăm khám và tư vấn trực tiếp bởi đội ngũ bác sĩ chuyên môn cao, giàu kinh nghiệm. Bên cạnh đó, nha khoa luôn ứng dụng những công nghệ niềng răng hiện đại nhằm mang đến cho khách hàng những trải nghiệm tốt nhất.

Hy vọng những thông tin trên đã giúp bạn có thêm thông tin về phương pháp niềng răng khớp cắn hở. Cắn hở kéo dài sẽ gây ra những ảnh hưởng tiêu cực tới sức khỏe răng miệng và thẩm mỹ cho gương mặt. Do đó, nếu đang gặp phải tình trạng này, liên hệ ngay với Smile One để được tư vấn và thăm khám miễn phí nhé!
———- ———- ———– ———-
NHA KHOA SMILE ONE – AN TOÀN CÔNG NGHỆ – THẨM MỸ NỤ CƯỜI
Hotline: 0938 874 358
Facebook: https://www.facebook.com/nhakhoasmileone.vn
Hà Nội:
CS1: 219 Giáp Nhất – Thanh Xuân, Hà Nội
CS2: 167 Quan Hoa – Cầu Giấy, Hà Nội
TP. Hồ Chí Minh:
CS1: 27 Nguyễn Hữu Thọ, P.Tân Hưng, Quận 7, Hồ Chí Minh
CS2: 5 Nguyễn Đình Chiểu, P.Đa Kao, Quận 1, Hồ Chí Minh
Thời gian làm việc:
– Thứ 2 – Thứ 7: 8h30 – 19h00
– Chủ nhật: 8h30 – 17h30
Hãy để lại bình luận của bạn bên dưới!
Nhập thông tin của bạn
×